• 14 Oct 2025 1:00PM (AEDT). The forums will be closing at 1:15pm (AEDT) for routine maintenance. We expect the site will be unavailable for about 10 minutes. Can you please logout of the system. Apologies for any inconvience.

General Medical issues thread

@JohnK
Maybe a CT guided steroi_ injection for the sacroiliac and L4/5 "hotspot" areas?
steroi_ injection will not help other areas which did not show up as a hotspot on bone scan
Yes that is one possibility thanks.

The other areas did show hotspots but they're being dismissed as ostearthritis. Hip and knee can be replaced but what do you do with a foot with ostearthritis?

By the way I'm not even considering hip/knee replacements. I'll take the pain/discomfort for as long as I can take it.
 
If really bad then depending on the actual joints involved a fusion procedure where they remove the joint surfaces in question and fuse the bones
I'll be 60 in a few months. I wouldn't want to spend the rest of my life in and out of operating theatres. I am having anxiety attack thinking of all the physio and exercise needed to get back on track after each procedure.

JohnK v2.0 would be nice.
 
Dr Phillip Vecchio? He is the one that I've been seen at PA Outpatients. He's quite good but he's on leave and wasn't there yesterday.

@Pushka I do understand. It's not easy for specialist to treat when the symptoms are not by the book. This is where someone like Dr Vecchio was trying different things.

I've been suffering most of my adult life. I'm not expecting miracles but Sacroiliitis and ankylosing spondylitis are 2 of the worst conditions you can have without being seriously ill.

Lower back and groin severe pain. What do you do? Sit down? Still in extreme pain in backside and down the back of the legs. Lay down? Still in extreme pain. No relief possible that I can see. Sure rheumatologist cannot do anything about it but doesn't mean it's not a serious issue.

Wake up in morning and fingers are badly swollen with severe joint pain. Extremely uncomfortable. Can't make a fist. If driving a car it's difficult as cannot hold steering wheel firmly. Difficult to work. Playing golf cannot hold a golf club.

Some mornings wake up and thumb and forefinger have pins and needles. Difficult to type and a distraction trying to work. This can last up to an hour or more.

Chronic neck pain. Medicine does not usually help. The only relief I find is to make it hurt more by moving neck around.

There are other issues. Too many to list. Life is difficult. Life is torture but I've never given up. And then to have some quack telling me nothing he can do and to take panadol and exercise shows me he does not care.

I don't care either. If medicine can't help me then I'm self medicating. I don't want to take pain killers. Useless and only temporary relief. Arthrexin comes with issues. Naprosyn SR1000 doesn't always help. So I'll take 10mg-25mg prednisone when I decide I need it and yes it does provide some relief. I bought 100+ 5mg tablets in Thailand for 5 baht each.

And to top it off is the psychological damage all this is causing. It's so difficult finding someone that understands.
Ok Dr V has helped me a lot. He is very caring. I don't think it is too expensive to see him privately but of course that is all relative. Possibly you could ask him if he could see you without a gap with private health? I am also on daily prednisone and had the guided steroi_ injection in my knees (as a last resort on my behalf after MRI's showed about 6 things wrong with each knee ). I was unable to walk or move properly . I felt about 100yrs or more.....and was so limited in movement. The injection was life changing. I went on a yoga retreat and I can move and do daily walking again. I second the fact of considering those steroi_ spot injections.
 
How did your op go?

Cheilectomy - stage before bone fusion. Too early to tell. Day +2 and mostly in bed and able to hobble around, with chunky 'overshoe'. Can drive if needs be. Had considerable pain from 9pm to 3am the night after the op (palexia didn't work, endone did), which surprised the surgeon (he said). Occasional ache now. Dressing off in 2 weeks.
 
Read our AFF credit card guides and start earning more points now.

AFF Supporters can remove this and all advertisements

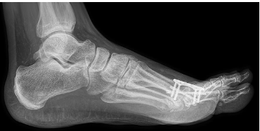
That fusion is a minor one involving the big toe joint. Quite common for arthritis of that joint
Some say it's caused by people wearing pointy shoes🤣

The foot one is much more invasive

You mean the cheilectomy is more invasive than great toe fusion?

Cheilectomy (my procedure): Day procedure (although I stayed overnight by mutual agreement); can get around the day after with overshoe including driving but rest recommended for a week; dressing off in 2 weeks.

Great toe fusion (From the surgeon's web site): Not day procedure; plates and screws inserted to hold bones in place; can walk afterwards, but lying down with foot elevated recommended for 2 weeks. Dressings off in 2 weeks, but wearing overshoe recommended for another 4-5 weeks. Xray after 6 weeks to see that bones have knitted. "3 months until full recovery".

1688718164787.png
 
Yea, it's not something anyone would want unless there was no other alternative
I don't want to do any replacements. I know there are lots of success stories but I know 2 bad ones.

Played golf with a panel beater. He wasn't a good golfer but he could play and he enjoyed the social side of golf. Years of panel beating caused damage to his shoulder and he was in constant pain but soldiered on. Had shoulder reconstruction. Around 18 months rehabilitation but still not right. Could not move arm up past ribs. Forget golf. What a mess.

Another lady had hip replacement. Issues from the beginning. Could not walk freely. Went back again but still not fixed. Never the same.

I have vowed not to replace any body parts unless there was no choice but even then I might take limited movement and not risk worse issues.
 
Played golf with a panel beater. He wasn't a good golfer but he could play and he enjoyed the social side of golf. Years of panel beating caused damage to his shoulder and he was in constant pain but soldiered on. Had shoulder reconstruction. Around 18 months rehabilitation but still not right. Could not move arm up past ribs. Forget golf. What a mess.
Poor surgeon selection. I've had 2 reconstructions and a bicep tenodesis with great success. Due surgery on my other shoulder and tricep tenodesis if and when I get round to it, but will happily do given my previous success history.
 
Last edited:
Sometimes you just have to laugh and laugh hard because if you don't laugh you need to cry.

Letter from hospital. Thought it might have been for hernia appointment. Nope.

To JohnK

Please see your GP for ongoing care.

[Appointment details]

Following your appointment your care has been transferred to your GP. Please arrange an appointment with your GP to continue your care.

What care? What is the GP going to do? Prescribe panadol and recommend exercise?

FFS I went to specialist because I need help. I didn't need to be shafted and left high and dry. Thanks for nothing.
 
So the surgeon thinks it’s more than a damaged MCL, she is booked in to stay at least overnight, so not a simple arthroscopy, something about plates being replaced in the knee.
Anyone have any ideas of what sort of possible recovery time, I read online that it could be up to 8 weeks in a brace and crutches!
Need to add that she has had both knees replaced.
 
So the surgeon thinks it’s more than a damaged MCL, she is booked in to stay at least overnight, so not a simple arthroscopy, something about plates being replaced in the knee.
Anyone have any ideas of what sort of possible recovery time, I read online that it could be up to 8 weeks in a brace and crutches!
Need to add that she has had both knees replaced.
No idea but my father did have to have his first knee replacement done again. Hopefully you will get some answers from the Medicos here.
Mr LtL is having second eye cataract surgery tomorrow with stents for glaucoma. First eye has been great so he is hoping this one follows suit. Luckily the private hospital is just down the lift to level 1.
 
Last edited:

Become an AFF member!

Join Australian Frequent Flyer (AFF) for free and unlock insider tips, exclusive deals, and global meetups with 65,000+ frequent flyers.

AFF members can also access our Frequent Flyer Training courses, and upgrade to Fast-track your way to expert traveller status and unlock even more exclusive discounts!

AFF forum abbreviations

Wondering about Y, J or any of the other abbreviations used on our forum?

Check out our guide to common AFF acronyms & abbreviations.

Recent Posts

Currently Active Users

No members online now.
Back
Top